Дети
Роды в Панаме: безопасность, комфорт и профессионализм
Когда речь заходит о родах, каждая женщина стремится к безопасности и комфорту. В Панаме вы найдете все, что вам нужно для успешных и безопасных...
Дом
Здоровье
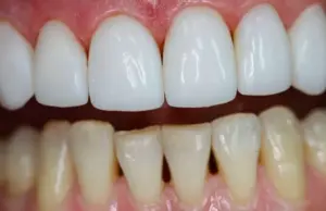
Винир на 1 зуб: эстетическая перекраска вашей улыбки
Винирование – одна из самых популярных и эффективных процедур в эстетической стоматологии. Это способ улучшить внешний вид передних зубов, делая их белоснежными и привлекательными....
Нарколог на дом: сэкономьте время и получите помощь
В наше время проблема наркотиков является одной из самых актуальных и опасных. Каждый день все больше людей страдает от зависимости, и им требуется срочная...
Досуг
Красота
Наши партнеры: moskva-news.com
allaboutourladies.ru svarkalegko.com prostostroy.com griskomed.ru иваново37.рф lratvakan.com azurka.ru 3news.ru cosmoreviews.club pc-4you.ru newsn.ru providers.by pic4you.ru balayazh.com mybiysk.ru dipris-studio.ru topse.ru coronavirus-stop.ru omaske.ru drimtim.ru vashesamodelkino.ru regiontu.ru notperfect.ru compuzilla.ru vystroim.com vse-novosti.net drivedrom.ru lmoroshkina.ru software-expert.ru
Новое на сайте
All
- All
- Авто
- Блюда из мяса
- Блюда из рыбы
- Воспитание
- Выпечка
- Десерты
- Дети
- Диеты
- Дом
- Досуг
- Женское здоровье
- Здоровье
- Здоровье семьи
- Игры с детьми
- Карьера
- Красота
- Кулинария
- Молодая мама
- Напитки
- Напитки
- Огород
- Отношения
- Подарки
- Праздники
- Психология
- Развитие
- Ремонт
- Салаты
- Саморазвитие
- Сны
- Советы дамам
- Спорт
- Спортивное питание
- Стиль
- Стиль
- Уход за волосами
- Уход за лицом
- Уход за ногами
- Уход за руками
- Уход за телом
- Фитнес
Как выбрать идеальный матрас для кровати
Матрас Кишинев - это один из самых важных элементов в вашей спальне. От качества матраса зависит ваш сон, ваше самочувствие и даже ваше здоровье....
Макадамия: применение ореха в косметологии и способы хранения
Орех макадамия издавна известен своими полезными свойствами и многими ценными качествами. В наше время он нашёл широкое применение не только в кулинарии, но и...
Винир на 1 зуб: эстетическая перекраска вашей улыбки
Винирование – одна из самых популярных и эффективных процедур в эстетической стоматологии. Это способ улучшить внешний вид передних зубов, делая их белоснежными и привлекательными....
Рецепты вкусных пирогов
Пироги — это не просто выпечка, это настоящая кулинарная магия, объединяющая людей за общим столом. В каждой культуре есть свои уникальные рецепты, которые передаются...
Правила безопасности и необходимое оборудование при мойке окон на высоте
Мойка окон на высоте – это процесс, требующий не только профессиональных навыков, но и строгого соблюдения правил безопасности. Независимо от того, занимаетесь ли вы...











































