Какие услуги оказывают медицинские центры?
Современные медицинские центры радуют людей широким спектром услуг, которые они оказывают.
К подобным услугам относят множество разновидностей. Человек, а именно пациент уже самостоятельно определяет, с...
Для чего ребенку витамин Д?
В настоящее время каждый человек подвержен различным негативным факторам, которые могут значительно повлиять на состояние организма. Причем касается это не только взрослого человека, но...
Английский для детей: секреты раннего обучения
Знание иностранного языка всегда пригодится в жизни, особенно сегодня, когда можно путешествовать или работать в любой стране мира. Опытными педагогами было отмечено, что дети...
Какие услуги оказывают стоматологи ?
Современные виды услуг существенно облегчили человеческую жизнь.
Теперь можно воспользоваться практическими услугами от профессионалов своего дела, в частности получить квалифицированное лечение врача стоматолога по доступной...
Какой производитель индийского Даклатасвира лучше?
Какой производитель индийского Даклатасвира лучше?
<h1 dir="ltr">Какой производитель индийского Даклатасвира лучше?</h1>
<p dir="ltr"><img src="https://lh3.googleusercontent.com/KB0LOlpVpTeqHchm1lKlk__7iNErTl2Yy2Ke84tABKmB968A6AvJqAgMLtRQ_3SaMLV3m05r_DsvH0ZkP9ImR5UlKD1DX1mnX2wcIcBiqtnSBGo_DwO52gJAivyMeVbIiCj7O0PM" alt="" width="275" height="183"></p>
<p dir="ltr">Лечение больных гепатитом С дженериками из Индии набирает популярность.</p>
<p...
Красота – великая сила!
Каждая девушка хочет быть на своей собственной свадьбе королевой. Это может стать возможным благодаря уверенности в себе, профессиональному макияжу, красиво уложенной прическе и конечно...
Детские надувные батуты: польза и особенности
Надувные батуты - это яркие и не обычные специальные игровые зоны. Батуты для детей бывают разнообразными, например, ввиде замков, домиков, а также иметь схожий...
Особенности выбора кормов для кошек
Современные производители кормов для кошек предлагают владельцам четвероногих друзей широчайший ассортимент кормов. Как же не запутаться в представленном многообразии и найти для своего любимца...
Стакан с двойным дном: оригинальное изделие
Возможно, это покажется кому-то странным, но выбрать правильную емкость для питья, является достаточно ответственной задачей.
Кто-то, возможно, еще не знает, но от того, что это...
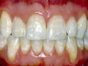
Флюороз
Флюороз
Патологический процесс протекает в ротовой полости, вызывается избыточным содержанием фтора. Проявляется болезнь изменением оттенка, также нарушается зубная целостность. Патология обычно носит эндемическую этиологию, связана...





















