Для чего вызывают нарколога на дом?
Врач нарколог занимается лечением таких зависимостей, как наркомания и алкоголизм. Когда люди слышат о такой услуге как вызов нарколога на дом, они не понимают...
Терапия в Лобне — консультация, диагностика
Терапия является самым главным направлением в медицине. Данное направление позволяет выявить причины заболевания, провести диагностику, выявить симптомы, а так же позволяет определить метод лечения....
Гингивит: виды, причины и лечение заболевания
Даже незначительные воспалительные процессы в полости рта, без своевременного лечения могут стать причиной серьезных паталогий. Не исключение гингивит, являющийся воспалением десен, переходящий в пародонтит,...
Витамины для сердца и сосудов: какие выбрать
Никто из нас не может уверенно сказать, что он постоянно проводит время на чистом воздухе, правильно питается, достаточно спит. Наша современная экология просто не...
Способ гигиенической дезинфекции кожи рук
Гигиеническая обработка рук-это процесс, который направлен на достижение определенной чистоты рук. Её проводят перед контактом с пациентом, после контакта с пациентом, после контакта с...
Детский день рождения: как организовать и провести праздник?
Абсолютно для каждого ребенка день празднования его дня рождения всегда радостное событие. Связано это, прежде всего, с тем, что ребенку дарят подарки, и, конечно...
Рекомендации по использованию ортопедических стелек при варикозе
В современном мире, все больше людей жалуются на такие заболевания, как плоскостопие, варикозное расширение вен и другие болезни нижних конечностей. Безусловно, что это связано...
Пора ли вам сдавать анализ на витамин Д?
Витамин Д – жирорастворимое гормоноподобное вещество, необходимое для жизнеобеспечения человека. В организм оно поступает с пищей или вырабатываться кожей в результате воздействия солнечных лучей....
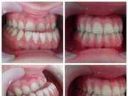
Методы исправления прикуса зубов
Проблема неправильного прикуса достаточно распространенная – ею страдают многие люди во всем мире. Практически у 80% всех людей, проживающих на нашей планете, неправильный прикус....
Сумка Шоппер: универсальный вариант для женщин и девушек любого возраста
Все современные модели женских сумок могут быть красивыми, они станут настоящей изюминкой любого гардероба, а также прослужат в качестве незаменимого аксессуара на каждый день....






















